大暑至,再不做好防晒当心眼睛长“鱼肉”
来源:珠海希玛林顺潮眼科医院 2020-10-20
今天为二十四节气中的大暑,也意味着进入了一年中日照多、气温高的时期。大家除了注意防暑降温之外,外出时千万别忘记做好全身防晒,特别是眼睛。
眼睛不做好防晒,当心日积月累长出“鱼肉”
在夏日强烈的阳光照射下,我们的皮肤很容易就会变黑。为了防止变黑,我们常常会做好皮肤的防晒。而眼睛暴露在阳光下不会像皮肤那样变黑,我们无法直观地看到眼睛有没有发生变化。因此很多人只觉得阳光刺眼,却不知道阳光里的紫外线照射进我们的眼睛后,会在我们眼底累积,甚至可能会引起一些眼病。
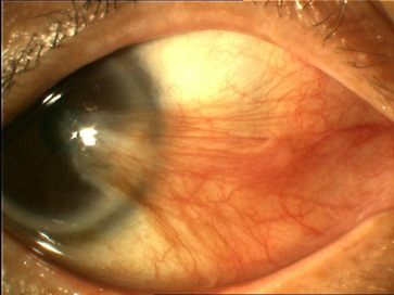
比如,常见的“鱼肉”
小编这里说的“鱼肉”,可不是我们餐桌上肥美味鲜的鱼肉,而是一种长在眼睛上的赘生组织,由于形似“鱼肉”而得名。在医学上,这种情况被称为翼状胬肉。

翼状胬肉就是一种很常见的与长时间受到紫外线照射有关的眼睛疾病。这种眼睛疾病在开始出现的时候,患者大多没有自觉症状,或仅有轻度不适,这种情况下,胬肉一般处于静止期,一般这种情况可以不用进行处理,只需以观察为主。
而如果翼状胬肉处于进行期,即从睑裂部球结膜及结膜下组织增殖,向角膜方向侵犯时,患者可由于牵扯而出现散光,还可能因为阻挡瞳孔而导致视力障碍,引起角膜、结膜病变,甚至严重影响眼球运动,此时可考虑手术将胬肉切除。
珠海希玛林顺潮眼科医院专科治疗翼状胬肉
在珠海希玛林顺潮眼科医院,特设眼表与眼角膜专科专业,开展疑难角膜病与眼表疾病的诊治,为各种角膜和眼表疾病患者提供专业的咨询、诊断和治疗服务,翼状胬肉就属于其中之一。针对翼状胬肉的治疗,珠海希玛林顺潮眼科医院使用自创的手术方式:
胬肉切除+自身结膜移植术
这种治疗方式是利用手术切除胬肉病变后,在附近健康的角巩缘处取自身结膜作为植片,覆盖在已切除病变区域的巩膜上。这种手术能在切除翼状胬肉的同时,移植含有干细胞的健康结膜,有利于组织修复及防止翼状胬肉复发。

图(左):切除胬肉,图(中、右):移植含有干细胞的健康结膜
后建议大家,为了减少紫外线照射引起的眼睛疾病,从现在开始,外出时一定要记得做好眼睛防晒。