近视眼应警惕这4种严重并发症,每种严重都可致盲
来源:珠海希玛林顺潮眼科医院 2020-10-22
平时工作学习非常忙碌,好不容易到了长假自然是要嗨起来。熬夜追剧、通宵唱K,还得来上几百圈麻将,这才是春节长假的打开方式。但是,在嗨翻全场的同时却会给眼睛带来极大负担甚至是较为严重的损伤。武汉30岁的张女士就因为熬夜追剧进了医院。

(图源微博)
原来呀,双眼高度近视的张女士趁着春节期间的小长假彻底放飞了自我,每晚熬夜刷剧,直到三四点才睡。
当右眼出现飞蚊、暗影后她也并没有特别在意,直到初六早上她发现右眼一片黑才慌张地赶去医院做了检查却被医生诊断为孔源性视网膜脱落需要尽快手术治疗。
珠海希玛眼科医院要提醒大家的是长期熬夜容易导致视力下降,尤其是高度近视患者。其眼轴比正常人的眼轴要长视网膜相对较为脆弱,如果长期熬夜会造成视力模糊、视物扭曲等问题,并容易引发一系列眼底病变。
近视需警惕这些眼底并发症
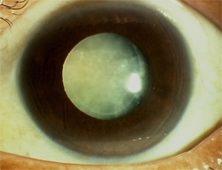
白内障
作为全球第一大致盲眼病,可能大家都觉得白内障一向是属于年长人士的疾病,但近年白内障有年轻化的现象,原因之一就是高度近视。

白内障是眼球内晶状体全部或部分混浊,高度近视容易并发该病,且手术效果也比没有高度近视病史的人群差。
白内障会出现视力减退和视物模糊,严重时会出现视物模糊、畏光、看物体颜色较暗或呈黄色等情况。
青光眼
高度近视患者的视神经纤维层会变薄,这也正是青光眼患者的一个重要结构改变。由于近视眼球被拉长,房角组织被拉开,所以高度近视患者所患的多数属于开角型青光眼。
青光眼是目前排在第二位的致盲性眼病,其表现为眼压高、视力急剧下降并伴随有瞳孔放大、剧烈头痛、呕吐等症状。
视网膜脱落
高度近视患者眼球长度会被拉长,这样视网膜就会被拉伸变薄,由此衍生一系列视网膜并发症,其中较常见的是某些部位在被拉得过薄时,视网膜出现穿孔或者撕裂,严重者可能会出现视网膜脱落。

视网膜脱落是感光层和色素层之间脱离,部分患者没有明显自觉症状,而有些患者是有明显自觉症状的,患者眼前的飞蚊会增多,并出现闪光及视野缺损的状况。
黄斑病变
黄斑位于视网膜的中心位置,是负责中央视力的重要区域,黄斑一旦出现病变,有可能严重影响视功能。
与正常人眼球长度(约为24毫米)相比,高度近视患者眼球被拉长,严重时眼球长度能达到34毫米。当眼球被拉长,相对应部位的视网膜组织会承受牵扯的力量,同时被拉扯变薄,变得脆弱容易出现退化变性,出现黄斑前膜、黄斑裂孔及黄斑劈裂等病变。
高度近视引起的黄斑病变,早期未必会出现明显症状,当病变恶化时可能出现症状,常表现为视物模糊,视物扭曲或者变形,中央视力下降及视野范围可能出现中心暗点。
对于高度近视患者而言需要格外注意以上眼底并发症。另外,在日常生活中要养成科学合理的护眼习惯,每年定期到医院检查一次眼底,发现眼部有轻微不良症状后要及时治疗,做到防微杜渐,这样才能更好地远离眼底病变