经常戴着隐形眼镜睡觉?可能给眼睛带来大麻烦
来源:珠海希玛林顺潮眼科医院 2020-11-10
相信大家对隐形眼镜都不陌生,不管是作为框架镜替代隐形镜片还是那些戴上后可以改变眼睛颜色的美瞳,我们都可以在市场上看到它们的身影,甚至有不少朋友把隐形眼镜当成了生活必须品。
不过,隐形眼镜在给我们带来便利的同时,也会带来不少麻烦,特别是不注意正确佩戴事宜的朋友,更有可能发生在他们身上。
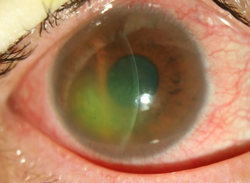
小高双眼近视五百多度,但是他非常不喜欢戴框架镜,平时都是戴着隐形眼镜的。但是前几周由于工作比较忙,忘了还带着隐形眼镜,每天忙完之后就直接睡过去了。结果眼睛出现视力下降、怕光流泪疼痛等情况。赶紧到医院检查,结果感染了绿脓杆菌导致角膜穿孔,有失明的风险。
为什么隐形眼镜使用不当,会有这么严重的后果呢?
这是隐形眼镜是置于角膜上的,而角膜维持正常工作的能量之一就是氧气,长时间佩戴容易导致角膜缺氧,让眼睛产生类似于人体“高原反应”的情况,无法正常代谢,抵抗力下降。
角膜缺氧造成角膜上皮细胞水肿且易剥落,使得配戴或取下镜片时易造成角膜上皮破皮及缺损。而角膜上皮为眼睛很重要的一道屏障,一旦被破坏易导致角膜感染造成角膜溃疡,厉害的话会导致角膜穿孔。
	
(荧光素染色检查显示角膜上皮破损病变)
另外隐形眼镜的位置与结膜也很近,如不注意使用卫生还将导致结膜炎。临床上的症状包括痒、分泌物增加、不能适应隐形眼镜、视力模糊、隐形眼镜移位、结膜发红等。
而且有些高含水性的软式隐形眼镜会有吸水的特性,使得眼睛干躁,容易诱发干眼症,让眼睛干涩、刺痒、流泪、分泌物黏稠,怕风、畏光﹑对外界刺激很敏感﹑短暂视力模糊等不适。
另外隐形眼镜药水的化学毒性,过敏反应、镜片本身的机械伤害、感染等都会让眼睛出现问题。
可见,隐形眼镜固然方便,但若不按照指示配戴及清洁消毒,那么稍有不慎产生并发症,赔上的可能就是自己宝贵的眼睛及视力。
		
						
 
						
					
