当葡萄膜出現炎症时,当心这种并发症略逊一筹!
来源:珠海希玛林顺潮眼科医院 2020-11-18
葡萄膜也叫黑色素膜,因为形近蓝紫色的红提而而出名,坐落于大家眼球壁的内层。葡萄膜包含视网膜、睫状体、脉络丛三一部分机构,葡萄膜炎便是这三一部分机构炎症的统称,分成三种种类:前葡萄膜炎、后葡萄膜炎、全葡萄膜炎。
掌握葡萄膜炎的人并不是很多,许多 状况下,葡萄膜炎经常被别人忽略,或是当做是其他双眼难题。例如:
一、被当做“结膜炎”的前葡萄膜炎
前葡萄膜炎可分成漫性跟亚急性,漫性葡萄膜炎病发迟缓,多无显著病症;而亚急性葡萄膜炎病发时则有显著的病症,病人常主要表现为眼睛视力下降、眼睛发红、眼疼、怕光和落泪等。这种病症与“结膜炎”一些类似,绝大多数人到出現这种病症时经常误认为是“结膜炎”。

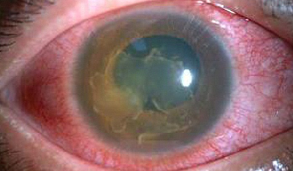
(葡萄膜炎)
不一样的是,“红眼症”一般指的是急性结膜炎,大部分急性结膜炎并不会造成比较严重的并发症。可是前葡萄膜炎就不一样了,它很可能会造成一些不可忽视的并发症:
1.高并发性白內障
白內障是前葡萄膜炎的普遍并发症之一,大部分因为房水的特性更改、眼睛晶体囊膜渗透性更改等导致。高并发性白內障产生浑浊的部分大部分坐落于眼睛晶体的后边,而前葡萄膜炎时长期性加用类固醇药物,还可以造成相近的病症。
2.原发性闭角型青光眼
前葡萄膜炎可因炎症体细胞、外渗及其机构残片堵塞泪液的排出来稳定通道,或是是因眼瞳被封闭式而阻隔了泪液的一切正常循环系统,造成原发性的眼压升高,造成闭角型青光眼,毁坏视神经元细胞,导致不可避免的眼睛视力损害。

3.眼球萎缩
炎症的不断发病或炎症的漫性化可造成 睫状体的摆脱或委缩,进而促使泪液代谢降低造成眼压高降低,情况严重还有机会造成 眼球萎缩。
二、会出現飞蚊症的后、全葡萄膜炎易失明
有别于前葡萄膜炎,后、全葡萄膜炎病人除开出現眼睛视力下降,还普遍视神经功能紊乱,眼下闪亮或悬浮物(飞蚊),视野缺损等病症。
这二种葡萄膜炎造成 病人眼睛视力被危害的水平必须在于变病的位置和玻璃体浑浊的轻和重,一般而言,炎症危害附近玻璃体和眼底黄斑时,患者关键病征是眼下闪亮或悬浮物,眼睛视力危害多不比较严重。而炎症若危害黄斑地区或眼睛神经,将导致视线中间出現冷色,或是视野缺损。
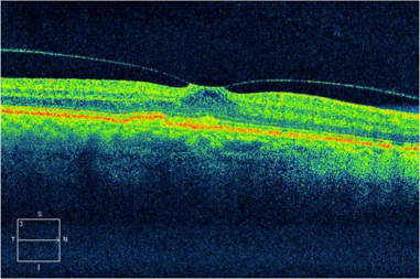
当葡萄膜炎危害到黄斑地区或眼睛神经时,则很有可能会出現黄斑前膜、黄斑及眼睛神经浮肿、球后视神经炎、眼底黄斑下新生儿毛细血管等非常容易对眼睛视力非常容易失明的并发症。

(OCT查验显示信息双眼的黄斑前膜,化学纤维膜在黄斑表层造成伸展的能量,可导致黄斑浮肿或孔裂,导致视线中间出現冷色)
无论是哪样种类的葡萄膜炎,在出現有关病症或是疑是病症都应尽早到医院门诊就医。尤其是后葡萄膜炎和全葡萄膜炎的发病原因繁杂,种类多种多样,许多 很有可能与免疫系统及风湿疾病有关系,因而确诊及医治都必须分外谨小慎微,提议病人应选择专业的医院门诊就医。
珠海希玛林顺潮眼科医院开设葡萄膜炎特需专业,对于葡萄膜炎医治,全院医师觉得应当考虑到全身要素,针对感柒造成的病症,相对给予抗感染药医治。针对非感柒造成的,大家将采用国际性强烈推荐的阶梯性治疗方案。