瞳孔变得异常?当心与这个眼病有关!
来源:珠海希玛林顺潮眼科医院 2020-12-08
今日份案例
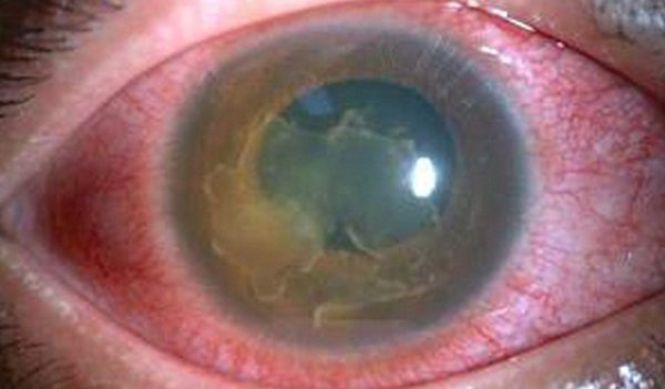
小江是在劳累后出现眼红、眼睛不舒服。然后他还发现自己的瞳孔是心形的。女友看见了,惊呼“好浪漫”,结果图片一晒到朋友圈,却被圈里的医生朋友告知:这是病,得治!

▲示例图片
到底是什么病,这么魔幻?今天小编就来给大家科普一下:正常的瞳孔长什么样?
急性前葡萄膜炎(又称急性虹膜睫状体炎):如不及时治疗可造成不可逆的视功能损害,还可引起虹膜后粘连,瞳孔闭锁,继发性青光眼等严重并发症。
我们先来认识下,正常的瞳孔应该是什么样的?
诗人说“黑夜给了我一双黑色的眼睛”,这“黑色”,其实是眼睛里虹膜的颜色。每个人的虹膜颜色差异可能很大,但其实都不是纯黑的--华人的虹膜多数是棕色,西方人则有蓝色、绿色、金色等多种颜色。
无论是什么颜色的虹膜,其中央都会围成一个圆形的洞,这个洞一会儿大一会儿小,里面看起来像个黑洞,在闪光灯照射下又会透出橘红色的反光,它就是瞳孔。光线可以通过瞳孔,照进眼睛,射入眼底,我们才看到了多彩的世界。
我们的虹膜颜色比较深,所以往往在光线充足时才能看到瞳孔。人类的正常瞳孔是「居中等圆等大」的,也就是说,瞳孔是圆形的,在黑眼珠子的正中央,并且左右双眼是同等大小的。
抢救时医生拿手电照眼睛看的是什么?

正常的瞳孔能在光线强的时候缩小,光线弱的时候扩大,可以调节进入眼睛里的光线,这现象称为“对光反射”。这些动作是靠虹膜组织里的相应肌肉来完成的。
瞳孔的对光反射受到一系列复杂的颅脑神经的控制。在一些危急的情况下,观察瞳孔的对光反射是快速判断病情的重要方法。在电视剧的抢救场景中,医生总用手电筒照着眼睛看,就是这个原因。
形状奇怪的瞳孔,可能是眼睛发炎了
小江的瞳孔之所以会变成心形,是因为眼睛里面发炎了,炎症使得眼睛里的虹膜和它后面的结构粘在了一起。这样,一旦光线变弱,其他方位的瞳孔都能正常散大,唯独那一个地方的虹膜粘在原处,就形成了心形的外观。
如果不及时治疗,炎症继续加重,还可以使得虹膜多处粘连,形成“梅花样”瞳孔,甚至全周 360 度都粘死了,瞳孔不能正常扩大。

这病一旦没有及时控制好,就会造成永久性的虹膜粘连。这一旦粘死了,不但视力会变差,还可以进一步造成白内障、青光眼,后患无穷!
正确的做法是这样做
葡萄膜炎是一种常见的致盲眼病,病因复杂,种类繁多,病情不易控制还容易复发,被行内人戏称为“眼科中的硬骨头”。
人的眼球前面是一层透明的角膜,中间及后面则由三层组织构成眼球壁,外侧是俗称眼白的巩膜,内层是视网膜,中间一层组织是色素膜组织,称为葡萄膜。它含有丰富的血管和色素,由前部的虹膜、中部的睫状体及后部的脉络膜三部分组成。

为什么有的人会患上葡萄膜炎?
葡萄膜含有丰富的血管,因此血液中的炎症物质很容易侵犯葡萄膜而引起炎症。而患上葡萄炎的原因也比较复杂,大致可以分为三个方面:
①由于细菌、病毒、真菌、寄生虫等感染所导致的葡萄膜炎
②许多自身免疫性疾病,如类风湿关节炎、强直性脊柱炎等都可能合并葡萄膜炎
③由于眼机械性损伤、化学或热的烧伤、眼内异物,如铜、铁等引起的葡萄膜炎
【治疗葡萄膜炎,首要控制炎症和避免并发症发生】
葡萄膜炎是可能致盲的眼病之一,占全部致盲病例的2.8~10%。治疗葡萄膜炎的首要目的是控制炎症和避免并发症的发生。自1950年开始,糖皮质激素开始广泛应用于治疗非感染性葡萄膜炎,开启了葡萄膜炎的现代治疗,大大改善了此病的预后。
但是,随着激素的广泛应用,其长期使用的药物并发症也逐渐显现,于是眼科医生开始利用不含激素的系统免疫调节制剂治疗葡萄膜炎,这些药物原本主要用于风湿免疫疾病或皮肤病。
另外,除了葡萄膜炎,还有其他疾病可能导致瞳孔不正常,比如青光眼、视神经炎、脑肿瘤等。
总之,不是「居中等圆等大」的瞳孔,就不是好瞳孔。珠海希玛林顺潮眼科医院建议,一旦发现,要懂得及时就诊。
内容参考
[1]Belliveau MJ, Arthur BW. Dilating pupils. CMAJ.2011 Sep 6;183(12):1400.doi: 10.1503/cmaj. 101597. Epub 2011 Jun 20.
[2]许馨月,何伟.中医西医联合治疗葡萄膜炎的近期研究进展[J/OL].实用中医内科:
1-5[2020-12-03].http://kns.cnki.net/kcms/detail/21.1187.R.20201120.1426.002.html.