珠海希玛眼科医院:“三管齐下”治疗湿性黄斑变性,可防止视力进一步衰退
来源:珠海希玛林顺潮眼科医院 2021-01-20
人一旦上了年纪,长皱纹、生白发、眼睛老花都是稀松平常的事情。所以很多老年人发现自己视力变差时,会想当然地以为是老花眼所致,算不上什么大问题。
但老年人视力下降,除了老花眼之外,也可能是其他眼病引起,如白内障、黄斑病变等。其中,年龄相关性黄斑变性很容易被患者误以为是老花眼,而不当回事。
要知道,黄斑变性对视力的伤害非常大。如果因为疏忽把黄斑变性当成老花眼,很容易因此错失好的治疗时间。
都是视力不好,黄斑变性和老花眼有何区别?
老花眼并不是一个疾病,而是一种正常的生理现象。伴随着年龄增长,晶状体的弹性会降低,眼部肌肉的调节能力也会下降,由此导致在看近处时调节能力变弱,无法准确将影像聚焦在视网膜上,所以会出现视物模糊的症状。
一般如果在看书或者看报时,看不清小字体,需要将视物目标移至一臂长的距离处,才可以看清,这种属于老花眼。

黄斑变性跟老花眼一样,也与年龄、老化有着密切关系,但黄斑变性是一种可损害视力的疾病,而且这种损害是不可逆的,若未及时治疗还有失明的风险。
患上黄斑变性,除了看东西模模糊糊之外,还会出现视物变形、视野中央出现盲点或者黑点等症状。如看手机、报纸时,一行行文字变得歪歪扭扭的,无论离近还是离远都不能改善这种情况,这些症状都是老花眼所没有的。
因此,即使是老年人视力下降,同样应该引起重视。
认识黄斑,了解黄斑变性的危害
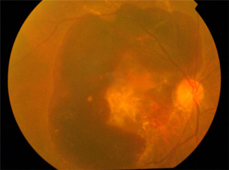
黄斑是位于视网膜中央的一个正常部位,同时也是负责中央视力的重要区域,我们平时辨识面孔、分辨颜色、开车、阅读等都需要拥有良好的黄斑功能。如果黄斑区域发生病变,将会对视力产生极大的威胁,而黄斑变性就属于黄斑病变的其中一种。
随着年龄增长,视网膜组织会发生退化变薄,黄斑功能也会有所下降,就可能发生黄斑变性。其中,有一部分患者属于湿性黄斑变性,由脉络膜血管增生所引起。这些不正常的新生血管很容易发生渗漏和出血,如果没有及时处理,血液和渗出物将积聚于黄斑区,进而破坏区内的感光细胞,导致不可逆的视力受损甚至失明。

除了年龄之外,吸烟、家族遗传、血管系统疾病和高血压患者、长期接触猛烈阳光等都是发生黄斑变性的危险因素。如果想要预防黄斑变性,就需要从这些方面入手,如戒烟、做好眼部防晒(防紫外线)、保持健康的饮水习惯等。此外,还建议45岁以上的年长人士至少间隔1年-2年定期做眼部检查,以便及早发现问题并采取治疗措施。
“三管齐下”治疗湿性黄斑变性,可防止视力进一步衰退
虽然黄斑变性是一种严重可致盲的眼病,但只要发现及时并采取合理的治疗方法,便有机会帮助患者防止视力进一步衰退甚或改善视力。
一般情况下,干性黄斑变性对视力影响较小,可先观察暂无须治疗(病情一旦恶化便有机会转变成湿性)。如果属于湿性黄斑变性,就需要及时接受治疗。
珠海希玛林顺潮眼科医院治疗湿性黄斑变性主要采取激光光凝凝固、光动力疗法、类固醇玻璃体注射、抗血管内皮生长因子玻璃体注射等方式。其中,由于激光光凝凝固治疗可能破坏附近组织,因此仅适合黄斑变性位置离黄斑点中央有一定距离的患者。

大部分黄斑变性患者可通过玻璃体内注射抗血管内皮生长因子进行治疗,也有的患者可能需要结合光动力疗法﹑类固醇玻璃体注射及抗血管内皮生长因子玻璃体注射三种治疗方式,进行“三管齐下”。至于具体采取何种治疗方式,珠海希玛眼科医院的医生会根据每位患者的实际情况制定合理的治疗方案,帮助患者“留住光明”。