珠海希玛林顺潮眼科医院:葡萄膜炎可严重影响视力,千万别大意
来源:珠海希玛林顺潮眼科医院 2021-02-20
“红眼病”这个词,在我们“小时候的 字典”里常常出现,因为相传,只要跟得了红眼病的人对视,就会被传染。
直到长大后了解了眼科知识才明白,红眼病其实并没有传说中那么可怕,看到红眼病患者也没必要紧闭双眼。
红眼病属于结膜炎的一种
红眼病在医学上被称为急性结膜炎,属于结膜炎的一种,是指病程在3周以内的结膜炎,由于患者结膜明显充血而被叫红眼病。

红眼病的确有传染的可能,但可不是像传言一样对视一眼就会传染。而是因为急性结膜炎多由细菌感染,细菌可以通过多种途径接触到结膜。再加上小孩子年龄小,又生性好动,所以在玩耍的过程中互相接触的比较多,因此在幼儿园等地方,出现急性结膜炎传染的几率也更大。
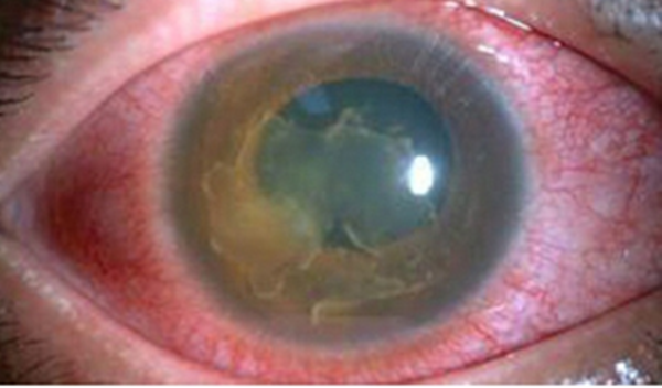
别把这种眼病误认为红眼病
有一种眼病,由于与红眼病一样可能出现眼红的症状,因此常常被误认为是红眼病,并按照治疗红眼病的方法给眼睛滴抗生素眼药水或者抹抗生素眼膏,但往往不能见效。

这种眼病叫前葡萄膜炎,是属于葡萄膜炎的一种。前葡萄膜包括虹膜及其相邻组织,即是睫状体,前葡萄膜炎就是指这些组织发生炎症。
前葡萄膜炎除了眼红,还会出现视力下降、眼疼、怕光和流泪等症状,甚至会发生一些严重的并发症,而红眼症一般不会引起严重的并发症。
前葡萄膜炎及其并发症可严重影响视力,需及早治疗
1.并发性白内障
多数由于房水的性质改变、晶状体囊膜通透性改变等引致。并发性白内障发生混浊的部份多数位于晶状体的后面,而前葡萄膜炎时长期点用类固醇药物,也可以引起类似的病征。
2.继发性青光眼
前葡萄膜炎可因炎症细胞、渗出以及组织碎片阻塞房水的排出通道,即小梁网,或房角粘连、小梁网炎症等原因使房水引流受阻,又或者是因瞳孔被封闭而阻断了房水的正常循环引起继发性的眼压升高,可导致视神经受损,造成不可逆的视力损伤。

3.眼球萎缩
炎症的反复发作或炎症的慢性化可导致睫状体的脱离或萎缩,从而使得房水分泌减少引起眼压下降,严重者可能导致眼球萎缩。
在珠海希玛林顺潮眼科医院,面对葡萄膜炎医生会根据患者情况进行治疗,比如针对并发白内障的患者,在控制好炎症的情况下进行白内障手术治疗;继发性青光眼则根据发病机制对症治疗等等。
如果葡萄膜炎患者及早进行适当的治疗,多可避免视力受损,因此,如果出现眼红并伴随视力下降、眼痛、流泪等症状应及时就医。